2777
2789
دکتر هم حدودی همین گفت از کجا فهمیدی؟

با خودم مقایسه اش کردم چند تا عکس مختلف تو سن های متفاوت دیده بودم که با اون ها هم مقایسه اش کردم تقریبا به این سن رسیدم

فارابی می گوید من مدینه ای یافتم به نام فاسقه که مردم ان حق را می دانند از ان گریزانند اما من می گویم بین دانستن حق و عمل به ان یک شجاعت و فکر فاصله هست

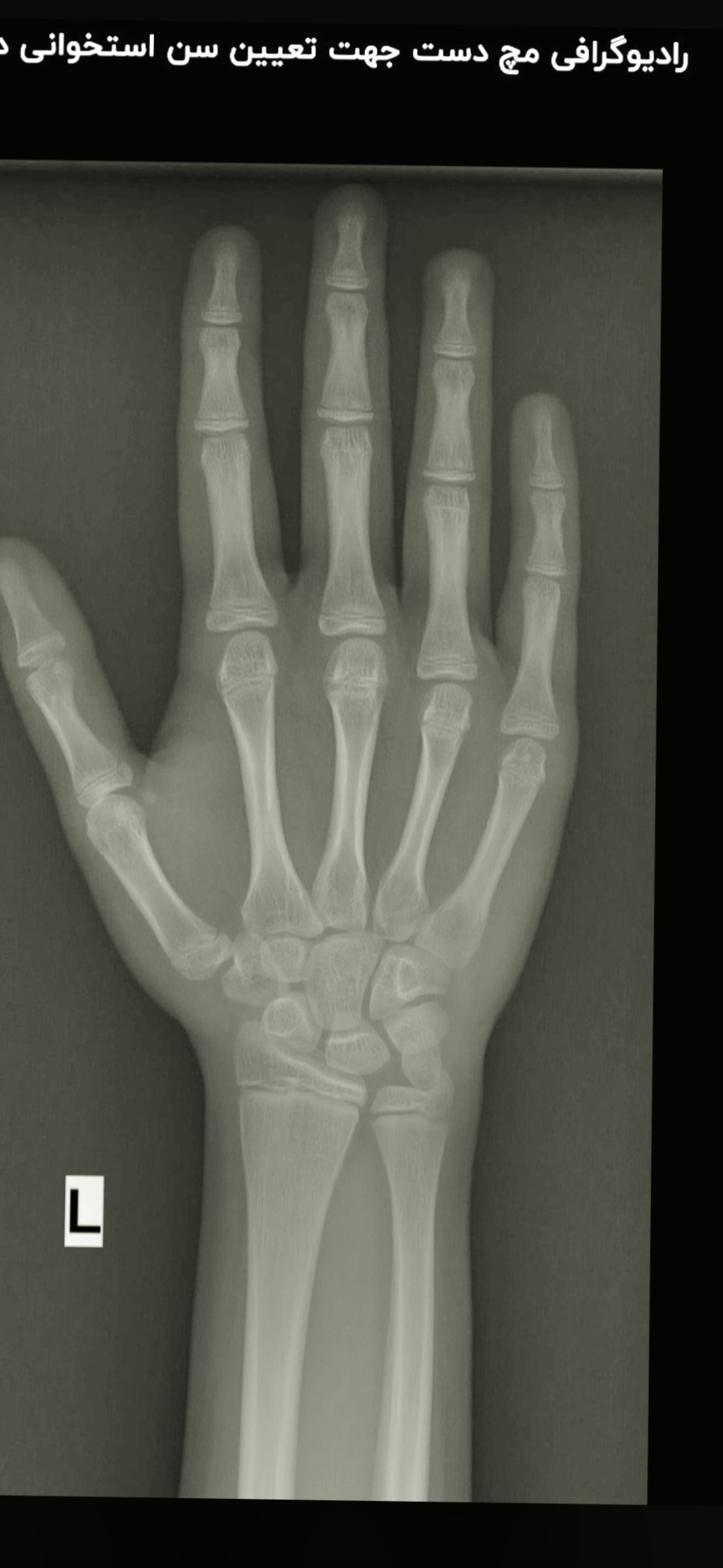
بچه‌ها، دیروز داشتم از تعجب شاخ درمیاوردم

جاریمو دیدم، انقدر لاغر و خوشگل شده بود که اصلا نشناختمش؟!

گفتش با اپلیکیشن زیره لاغر شده ، همه چی می‌خوره ولی به اندازه ای که بهش میگه

منم سریع نصب کردم، تازه تخفیف هم داشتن شما هم همین سریع نصب کنید.

اسی این عکسو خود دکتر هم بلد نیست بخونه و طبق یه کتاب رفرنس ،مقایسه میکنه و جواب رو مینویسه‌ ...  اونم گاها اشتباه مینویسن.‌باید حتما طرف باتجربه و سن بالا باشه.

حال دل من خوب نمیشود که نمیشود که نمیشود... میگذره...ولی ردش میمونه💔تو الان شیرینی یه محفلی👎👎👎
با خودم مقایسه اش کردم چند تا عکس مختلف تو سن های متفاوت دیده بودم که با اون ها هم مقایسه اش کردم تق ...

ممنون عزیزم

ویران شده را حوصله منت معمار نباشد//ویرانه ما را بگذارید که ویران بماند....... 

ی فرمول هست ک بچها از سایت خارجی پیدا کردن قد و طبق سن و این چیزا حساب میکنن برا دختر شما 167 حساب ک ...


میشه برای برادر من رو هم حساب کنید لطفا

فارابی می گوید من مدینه ای یافتم به نام فاسقه که مردم ان حق را می دانند از ان گریزانند اما من می گویم بین دانستن حق و عمل به ان یک شجاعت و فکر فاصله هست

اسی این عکسو خود دکتر هم بلد نیست بخونه و طبق یه کتاب رفرنس ،مقایسه میکنه و جواب رو مینویسه‌ ... او ...

خودش ک نوشت 12سال البته عکس سه بعدی دیگه هم بود ک من اون نذاشتم. 

ویران شده را حوصله منت معمار نباشد//ویرانه ما را بگذارید که ویران بماند....... 

پسر من سن استخوانیش ۳ سال بیشتر بود جای خصوصیش مو داشتدکتر گفت بلوغ نیست بازم دکتر ببرید

والله بیشتر ازین که صفحات رشد بسته بشن ترس دارم وگرنه دکتر تاکید کرد جوانه سینه شروع بلوغ هست و موهای زیر بغلش میتونه بخاطر خودم باشه که مشکل هورمونی دارم.اختلاف سن استخوانی رو میگن بخاطر اضافه وزن هست،۴ کیلو باید کم کنه

ولی ظاهرش تپل نیست با این حال دست سنگینی داره نمیدونم منظورم واضح هست یا نه

یخدا فرمولش برا دختراس برا پسرا ندارم

ممنون🌹


فارابی می گوید من مدینه ای یافتم به نام فاسقه که مردم ان حق را می دانند از ان گریزانند اما من می گویم بین دانستن حق و عمل به ان یک شجاعت و فکر فاصله هست

والله بیشتر ازین که صفحات رشد بسته بشن ترس دارم وگرنه دکتر تاکید کرد جوانه سینه شروع بلوغ هست و موها ...

دقیقا اونجا  کاربر کایرا و انیل. همین مشکل دارن سن استخوانی بالا ولی بلوغ شروع نشده

دکتر دارو داده اگ 3 ماه بعد تغییر نکردن  امپول بزنه

ویران شده را حوصله منت معمار نباشد//ویرانه ما را بگذارید که ویران بماند....... 

خودش ک نوشت 12سال البته عکس سه بعدی دیگه هم بود ک من اون نذاشتم.

برای پسر من با اون رفرنس نوشت۱۳. بردم دکتر باز رفرنس رو باز کرد گفت۱۳ و نیم هست

حال دل من خوب نمیشود که نمیشود که نمیشود... میگذره...ولی ردش میمونه💔تو الان شیرینی یه محفلی👎👎👎
ارسال نظر شما

کاربر گرامی جهت ارسال پست شما ملزم به رعایت قوانین و مقررات نی‌نی‌سایت می‌باشید

2790
2778
2791
2779
2792