2777
2789

الان که دارم اینو برات می‌نویسم، کاملاً رایگانه، ولی واقعاً نمی‌دونم تا کی رایگان بمونه!
من و دخترم بدون حتی یه ریال هزینه، یه ویزیت آنلاین از متخصص حرفه‌ای گرفتیم. کامل بدنمون رو آنالیز کرد، تک‌تک مشکلات رو گفت و راه‌حل داد.

خودم کمر و گردنم خیلی مشکل داشت، دخترم هم پای ضربدری و قوزپشتی داشت… و باورت میشه؟ همه‌ش رو درست کردیم!

اگه تو یا یکی از عزیزات مشکلات اینجوری دارید، همین الان تا دیر نشده نوبت ویزیت 100% رایگان و آنلاین از متخصص بگیرید.

بنظر من پسره 😂شاید بالای صد نفر درست گفتم


مال من چیه عکس آن تیه

مهربان تر از اونی هستم که فکرشو میکنید.  عاشق مهربانی و محبت کردن هستم. ❤️دختر قشنگم وقتی که به دنیا اومدی اولین چیزی که از مادرت یاد میگیری دوست داشتن  و مهربانی است❤️
فک کنم پسر این عکس چند هفتس

ای خدا از دهنت بیوه لطفا برام دعا کن پسر باشه یه گل دختر دارم


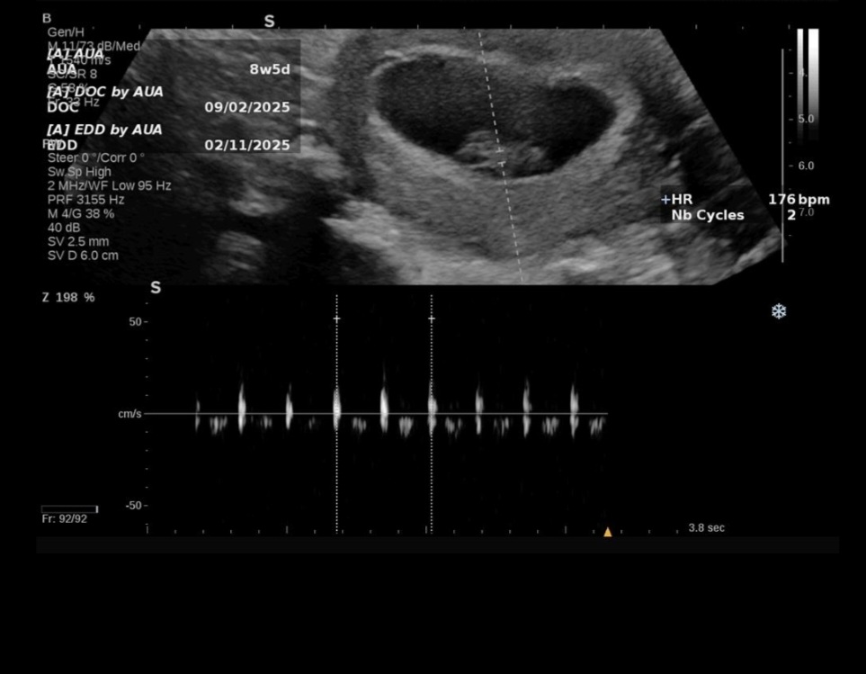
۱۲ هفته از روی مانیتور سونو عکس رو گرفتم

مهربان تر از اونی هستم که فکرشو میکنید.  عاشق مهربانی و محبت کردن هستم. ❤️دختر قشنگم وقتی که به دنیا اومدی اولین چیزی که از مادرت یاد میگیری دوست داشتن  و مهربانی است❤️
ان شاءالله خواست خدا با آرزوهات يکی باشه عزیزم

مرسی از دعای قشنگت گلم انشاالله 🤲

مهربان تر از اونی هستم که فکرشو میکنید.  عاشق مهربانی و محبت کردن هستم. ❤️دختر قشنگم وقتی که به دنیا اومدی اولین چیزی که از مادرت یاد میگیری دوست داشتن  و مهربانی است❤️
ارسال نظر شما

کاربر گرامی جهت ارسال پست شما ملزم به رعایت قوانین و مقررات نی‌نی‌سایت می‌باشید

2790
2778
2791
2779
2792