
چاقی موجب ناباروری میشود
ناهید خداکرمی در گفتوگو با خبرنگار بهداشت و درمان خبرگزاری فارس، اظهار داشت: در هر سیکل قاعدگی تعدادی فولیکول در تخمدانها شروع به رشد میکنند که تحت تأثیر هورمونهای هیپوفیز هستند و با کمک تخمدان فولیکولها به مرحلهای میرسند که قابلیت باروری پیدا میکند.
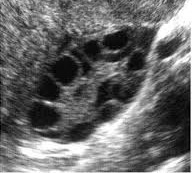
وی افزود: گاهی تعداد زیادی از فولیکولها با هم شروع به رشد میکنند و به مرحله تخمک میرسند که موجب بروز عارضه تخمدان پلیکیستیک میشود.
* چاقی عامل بروز تخمدان پلیکیستیک
عضو هیأت علمی دانشگاه علوم پزشکی شهید بهشتی گفت: چاقی موجب میشود تا از چربیهای دور شکم هورمونهایی ترشح شود که این هورمونها همراه با هورمونهایی که توسط تخمدان ترشح خواهد شد موجب مهار تخمکگذاری میشود. به همین دلیل با آنکه تعداد زیادی فولیکول رشد کرده است اما تخمکی آزاد نمیشود تا سبب باروری شود.
* تخمدان پلیکیستیک باروری را مختل میکند
رئیس انجمن علمی مامایی ایران اظهار داشت: زنانی که دارای تخمدان پلیکیستیک هستند علاوه بر عوارض ظاهری مانند چاقی و افزایش موهای زائد ممکن است باروریشان نیز مختل شود بنابراین توصیه میشود با ورزش و تغذیه مناسب وزن خود را در حالت طبیعی و متناسب نگه دارند و چنانچه سیکلهای قاعدگیشان دچار اختلال شده و ریتم و نظم آن به هم خورد به پزشک مراجعه کنند.
* چه موقع باید به مراکز درمان ناباروری مراجعه کرد
خداکرمی گفت: زنانی که قصد باروری دارند و چنانچه بعد از سه نوبت موفق به باروری نشدند باید به یک مرکز باروری مراجعه کرده تا قبل از اینکه وقت را از دست دهند برای رفع مشکل آنها چارهای اندیشیده شود.
وی افزود: همچنین گاهی در سونوگرافی زنان سالم که سیکل طبیعی دارند ممکن است کیستهایی به اندازه 20 تا 30 میلیمتر دیده شود که جای نگرانی نبوده و اقدامی نیز برای این کیستها نیاز نیست اما کیستهای بزرگتر از 3 میلیمتر نیاز به بررسی بیشتری دارند هر چند که کیستهای 30 تا 70 میلیمتر نیز نیاز به جراحی ندارند و با درمان سرپایی قابل برطرف شدن هستند.
* تخمدان پلیکیستیک در چه زنانی دیده میشود
رئیس انجمن علمی مامایی ایران خاطرنشان کرد: تحقیقات نشان میدهد که تخمدان پلیکیستیک سرشتی است و در دخترانی که از نظر ظاهری چاق هستند و نسبت دور کمر آنها به ناحیه لگنشان کمتر است بیشتر دیده میشود.
منبع: خبرگزاری فارس